Cart 0
HPA012657
phospholipase A2 receptor 1, 180kDa

Anti-PLA2R1 Antibody

Polyclonal Antibody against HUMAN PLA2R1

0.2 mg/ml
In Stock (10+)
Delivery time: Ready to Ship
Download product datasheet

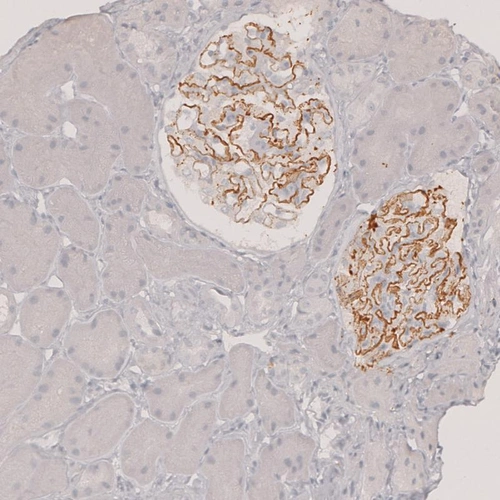
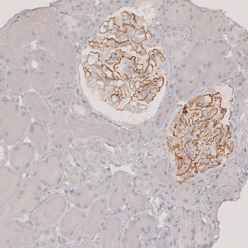
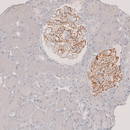
Immunohistochemistry analysis in human kidney and pancreas tissues using HPA012657 antibody. Corresponding PLA2R1 RNA-seq data are presented for the same tissues.

Product Features

Phospholipase A2 receptor 1 (PLA2R1) is a critical receptor for secretory phospholipase A2 (sPLA2), specifically recognizing phospholipase sPLA2-IB (PLA2G1B). This receptor plays a significant role in various physiological and pathological processes, including inflammation and immune responses. 

Importance in Research: Understanding the function of PLA2R1 is essential for exploring its implications in diseases such as autoimmune disorders and kidney diseases. The interaction between PLA2R1 and sPLA2 can provide insights into therapeutic targets and mechanisms of action in inflammatory pathways. 

Utilizing Anti-PLA2R1 (HPA 012657) in your research can help elucidate the role of phospholipase A2 receptor 1 in health and disease, contributing to advancements in biomedical research and potential clinical applications. 

With Atlas Antibodies you get

Guarantee Program

All products are designed for the highest possible performance and are manufactured using a standardized process to ensure the most rigorous levels of quality.

Global Scientific Support

From our facilities in Stockholm, Sweden we develop, manufacture and distribute highly advanced reagents to the Life Sciences community worldwide.

World Wide Shipping

Our products are available to customers worldwide. From most locations, you can order our products from Atlas Antibodies. Please see more information about how to order here.

Highly Validated Antibodies

Learn how we validate our antibodies, how we secure their reproducibility, and why we apply enhanced validation. Our antibodies are validated in IHC, ICC-IF, and WB.