Cart 0
AMAb90772
phospholipase A2 receptor 1, 180kDa

Anti-PLA2R1 Antibody

Monoclonal Antibody against HUMAN PLA2R1

1.0 mg/ml
In Stock (10+)
Delivery time: Ready to Ship
Download product datasheet

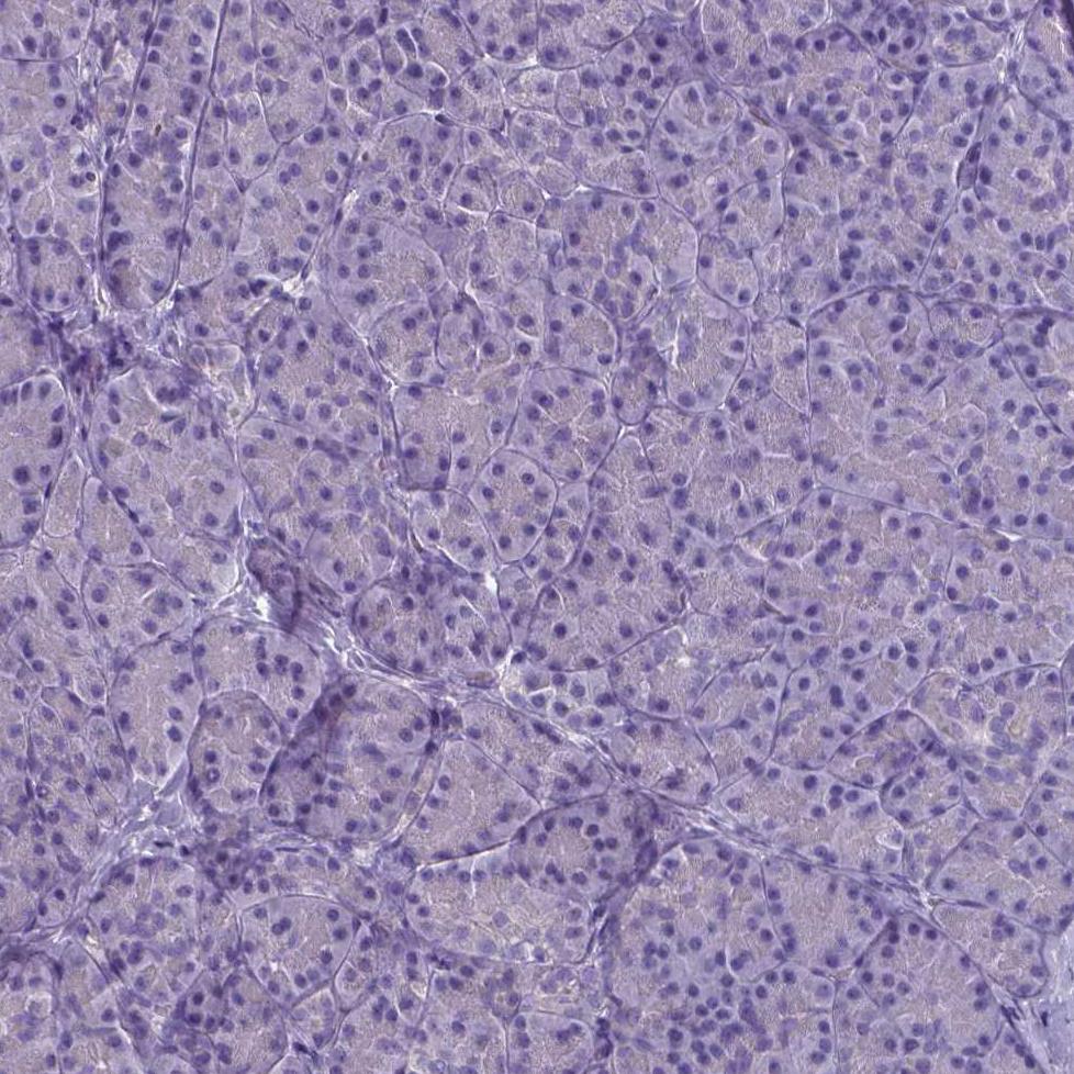
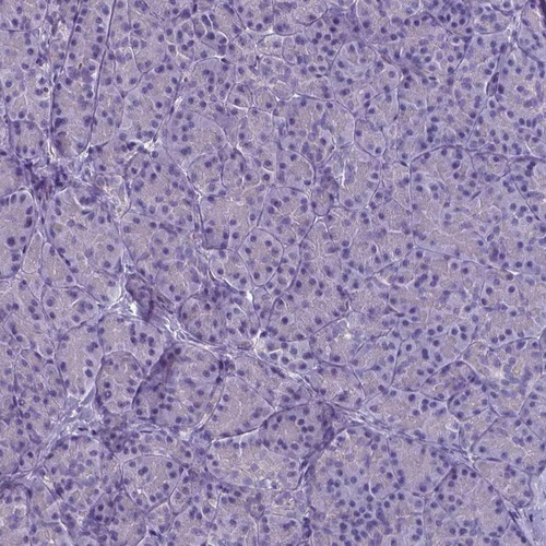
Immunohistochemistry analysis in human kidney and pancreas tissues using AMAb90772 antibody. Corresponding PLA2R1 RNA-seq data are presented for the same tissues.

Product Features

The Anti-PLA2R1 antibody (AMAb90772) specifically targets phospholipase A2 receptor 1 (PLA2R1), a transmembrane receptor involved in lipid metabolism and immune regulation. PLA2R1 is notably expressed in renal glomeruli and has gained attention for its role in idiopathic membranous nephropathy, where it serves as a major autoantigen. 

Importance in Research: PLA2R1 is crucial for understanding kidney function and autoimmune kidney diseases. Its involvement in glomerular biology and immune-mediated damage makes it a key target in nephrology and immunopathology research.

The Anti-PLA2R1 (AMAb90772) antibody is a valuable tool for researchers studying: 

  • Autoimmune kidney disorders, especially membranous nephropathy 
  • Glomerular cell biology 
  • Receptor-mediated lipid signaling 
  • Immune system interactions in renal tissues 

With Atlas Antibodies you get

Guarantee Program

All products are designed for the highest possible performance and are manufactured using a standardized process to ensure the most rigorous levels of quality.

Global Scientific Support

From our facilities in Stockholm, Sweden we develop, manufacture and distribute highly advanced reagents to the Life Sciences community worldwide.

World Wide Shipping

Our products are available to customers worldwide. From most locations, you can order our products from Atlas Antibodies. Please see more information about how to order here.

Highly Validated Antibodies

Learn how we validate our antibodies, how we secure their reproducibility, and why we apply enhanced validation. Our antibodies are validated in IHC, ICC-IF, and WB.