Cart 0
HPA043257
WD repeat domain 54

Anti-WDR54 Antibody

Polyclonal Antibody against HUMAN WDR54

0.2 mg/ml
In Stock (2)
Delivery time: Ready to Ship
Download product datasheet

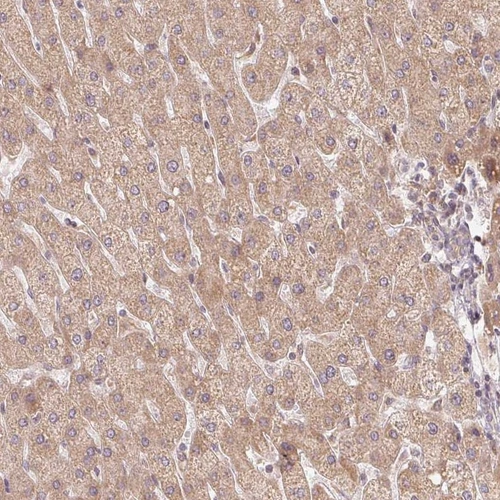
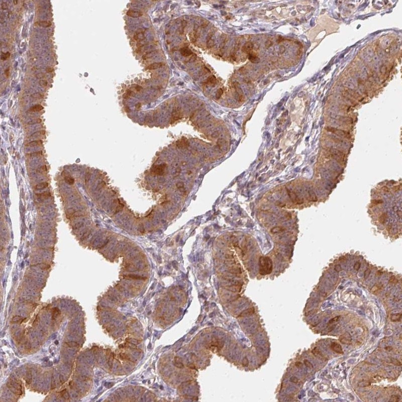
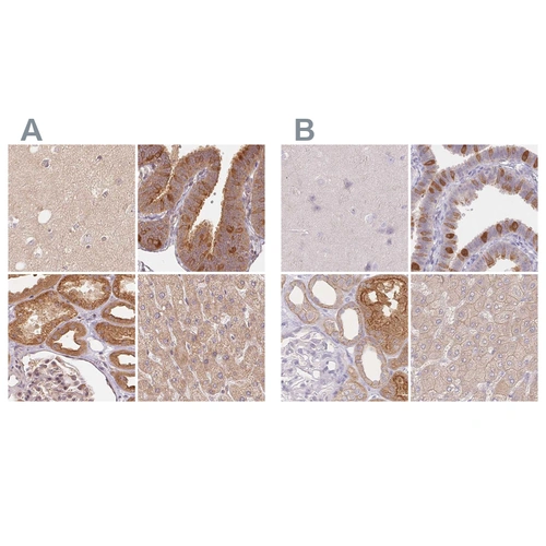
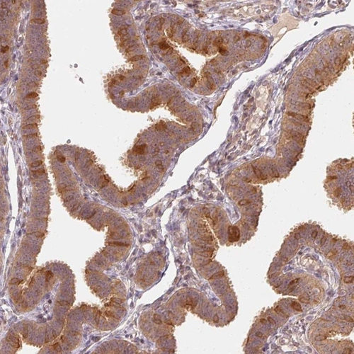
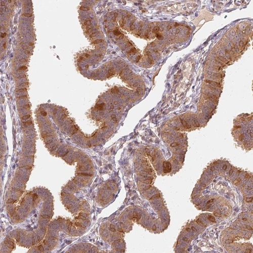
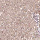
Immunohistochemistry analysis in human fallopian tube and liver tissues using Anti-WDR54 antibody. Corresponding WDR54 RNA-seq data are presented for the same tissues.

With Atlas Antibodies you get

Guarantee Program

All products are designed for the highest possible performance and are manufactured using a standardized process to ensure the most rigorous levels of quality.

Global Scientific Support

From our facilities in Stockholm, Sweden we develop, manufacture and distribute highly advanced reagents to the Life Sciences community worldwide.

World Wide Shipping

Our products are available to customers worldwide. From most locations, you can order our products from Atlas Antibodies. Please see more information about how to order here.

Highly Validated Antibodies

Learn how we validate our antibodies, how we secure their reproducibility, and why we apply enhanced validation. Our antibodies are validated in IHC, ICC-IF, and WB.