Cart 0
HPA069116
vascular endothelial growth factor A

Anti-VEGFA Antibody

Polyclonal Antibody against HUMAN VEGFA

On demand
Delivery time: On Demand
Download product datasheet

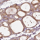
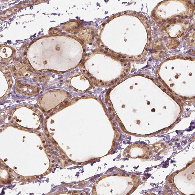
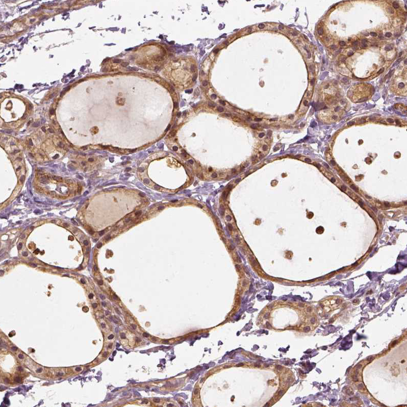
Immunohistochemical staining of human thyroid gland shows strong cytoplasmic positivity in glandular cells.

Product Features

The Anti‑VEGFA antibody (HPA069116) is a high‑quality, reliable tool for detecting VEGFA, the central driver of angiogenesis—blood vessel formation essential for tumor growth, vascular development, and tissue repair. VEGFA is heavily upregulated in cancer, promoting tumor vascularization and suppressing antitumor immune responses, making it a critical target in oncology research.

Significance in Research: This antibody is ideal for studies focused on cancer progression, tumor hypoxia, angiogenesis pathways, and therapeutic response. VEGFA is one of the most extensively studied angiogenic molecules and the primary target of FDA‑approved anti‑angiogenic drugs used in both cancer and ocular disease, underscoring its scientific and clinical importance. Use this antibody to advance your research in vascular biology, oncology, inflammation, and regenerative medicine, with confidence in specificity and performance.

With Atlas Antibodies you get

Guarantee Program

All products are designed for the highest possible performance and are manufactured using a standardized process to ensure the most rigorous levels of quality.

Global Scientific Support

From our facilities in Stockholm, Sweden we develop, manufacture and distribute highly advanced reagents to the Life Sciences community worldwide.

World Wide Shipping

Our products are available to customers worldwide. From most locations, you can order our products from Atlas Antibodies. Please see more information about how to order here.

Highly Validated Antibodies

Learn how we validate our antibodies, how we secure their reproducibility, and why we apply enhanced validation. Our antibodies are validated in IHC, ICC-IF, and WB.