Cart 0
HPA031390
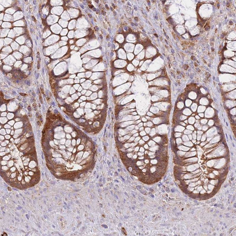
prolyl endopeptidase

Anti-PREP Antibody

Polyclonal Antibody against HUMAN PREP

0.3 mg/ml
In Stock (10+)
Delivery time: Ready to Ship
Download product datasheet

Western blot analysis in human cell line K562.

Product Features

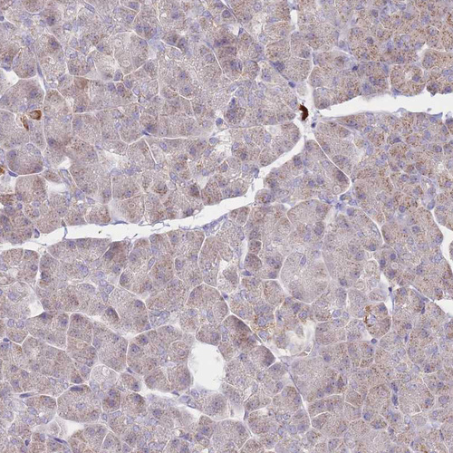
The Anti‑PREP antibody (HPA031390) detects PREP (Prolyl endopeptidase), an intracellular enzyme and metabolic protein with confirmed protein‑level evidence in the Human Protein Atlas. PREP shows low tissue specificity, appearing broadly across human tissues and clustering within the “Non‑specific – Basic cellular processes (mainly)” RNA expression group.

Significance in Research: HPA protein profiling highlights general cytoplasmic expression, with clear cytosolic localization, aligning with PREP’s enzymatic role in intracellular peptide processing. This antibody is ideal for studies involving cellular metabolism, proteolytic pathways, peptide turnover, and basic cellular regulatory processes, making it a versatile tool for broad cell‑biology and biochemical research applications.

With Atlas Antibodies you get

Guarantee Program

All products are designed for the highest possible performance and are manufactured using a standardized process to ensure the most rigorous levels of quality.

Global Scientific Support

From our facilities in Stockholm, Sweden we develop, manufacture and distribute highly advanced reagents to the Life Sciences community worldwide.

World Wide Shipping

Our products are available to customers worldwide. From most locations, you can order our products from Atlas Antibodies. Please see more information about how to order here.

Highly Validated Antibodies

Learn how we validate our antibodies, how we secure their reproducibility, and why we apply enhanced validation. Our antibodies are validated in IHC, ICC-IF, and WB.