Cart 0
HPA019652
POU class 2 homeobox 3

Anti-POU2F3 Antibody

Polyclonal Antibody against HUMAN POU2F3

0.1 mg/ml
In Stock (10+)
Delivery time: Ready to Ship
Download product datasheet

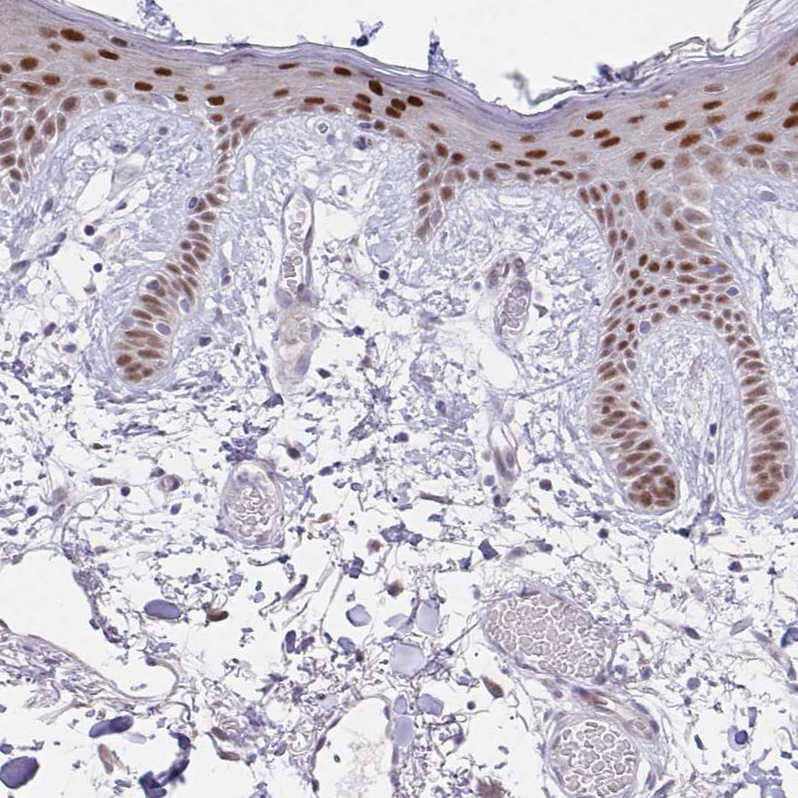
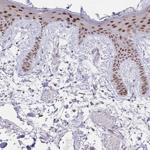
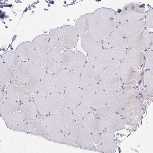
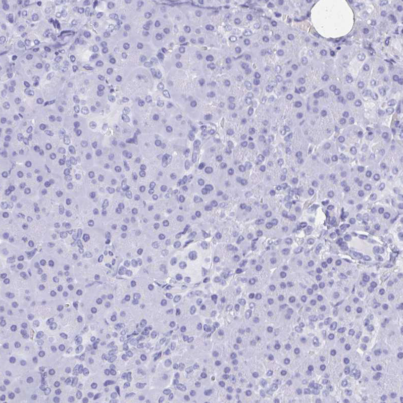
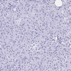
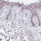
Immunohistochemistry analysis in human skin and skeletal muscle tissues using HPA019652 antibody. Corresponding POU2F3 RNA-seq data are presented for the same tissues.

Product Features

The Anti-POU2F3 antibody (HPA019652) specifically targets POU class 2 homeobox 3 (POU2F3), a transcription factor involved in epithelial cell differentiation and sensory perception. POU2F3 plays a critical role in the development of chemosensory cells and has been implicated in certain subtypes of lung cancer, particularly tuft cell-like small cell lung carcinoma. 

Importance in Research: POU2F3 is essential for understanding epithelial lineage specification and sensory cell biology. Its expression in tuft cells and involvement in cancer progression make it a key target for studies in:

  • Epithelial cell differentiation 
  • Sensory signaling pathways 
  • Lung cancer subtyping and tumor biology 
  • Transcriptional regulation in specialized cell types

With Atlas Antibodies you get

Guarantee Program

All products are designed for the highest possible performance and are manufactured using a standardized process to ensure the most rigorous levels of quality.

Global Scientific Support

From our facilities in Stockholm, Sweden we develop, manufacture and distribute highly advanced reagents to the Life Sciences community worldwide.

World Wide Shipping

Our products are available to customers worldwide. From most locations, you can order our products from Atlas Antibodies. Please see more information about how to order here.

Highly Validated Antibodies

Learn how we validate our antibodies, how we secure their reproducibility, and why we apply enhanced validation. Our antibodies are validated in IHC, ICC-IF, and WB.