Cart 0
HPA037363
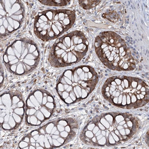
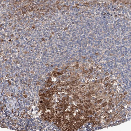
non-SMC condensin I complex, subunit D2

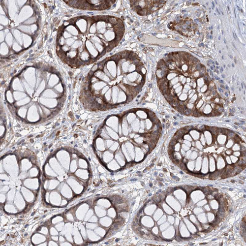
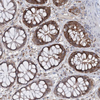
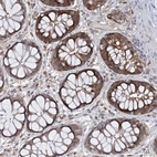
Anti-NCAPD2 Antibody

Polyclonal Antibody against HUMAN NCAPD2

0.1 mg/ml
In Stock (10+)
Delivery time: Ready to Ship
Download product datasheet

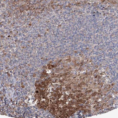
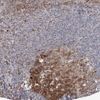
Immunohistochemical staining of human tonsil shows moderate cytoplasmic positivity in germinal center cells.

With Atlas Antibodies you get

Guarantee Program

All products are designed for the highest possible performance and are manufactured using a standardized process to ensure the most rigorous levels of quality.

Global Scientific Support

From our facilities in Stockholm, Sweden we develop, manufacture and distribute highly advanced reagents to the Life Sciences community worldwide.

World Wide Shipping

Our products are available to customers worldwide. From most locations, you can order our products from Atlas Antibodies. Please see more information about how to order here.

Highly Validated Antibodies

Learn how we validate our antibodies, how we secure their reproducibility, and why we apply enhanced validation. Our antibodies are validated in IHC, ICC-IF, and WB.