Cart 0
HPA004734
myocyte enhancer factor 2B

Anti-MEF2B Antibody

- ChIP-Certified

Polyclonal Antibody against HUMAN MEF2B

0.3 mg/ml
In Stock (10+)
Delivery time: Ready to Ship
Download product datasheet

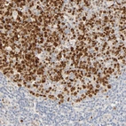
Immunohistochemical staining of human lymph node shows strong nuclear positivity in germinal center cells.

Product Features

The Anti-MEF2B antibody (HPA004734) specifically targets myocyte enhancer factor 2B (MEF2B), a transcription factor that plays a vital role in regulating gene expression during cellular differentiation, development, and immune function. MEF2B is part of the MEF2 family, known for its involvement in muscle development and neuronal survival, and has also been implicated in various cancers and lymphoid malignancies. 

Importance in Research: MEF2B is essential for transcriptional regulation in multiple tissues, including muscle, brain, and immune cells. It influences cell fate decisions and has been linked to oncogenic processes, particularly in diffuse large B-cell lymphoma (DLBCL).

The Anti-MEF2B (HPA004734) antibody is a powerful tool for researchers studying:

  • Transcriptional control mechanisms 
  • Muscle and neuronal development 
  • Cancer biology, especially lymphoid neoplasms 
  • Epigenetic regulation and chromatin remodeling 

With Atlas Antibodies you get

Guarantee Program

All products are designed for the highest possible performance and are manufactured using a standardized process to ensure the most rigorous levels of quality.

Global Scientific Support

From our facilities in Stockholm, Sweden we develop, manufacture and distribute highly advanced reagents to the Life Sciences community worldwide.

World Wide Shipping

Our products are available to customers worldwide. From most locations, you can order our products from Atlas Antibodies. Please see more information about how to order here.

Highly Validated Antibodies

Learn how we validate our antibodies, how we secure their reproducibility, and why we apply enhanced validation. Our antibodies are validated in IHC, ICC-IF, and WB.