Cart 0
HPA015135
leucine rich repeat containing 37B

Anti-LRRC37B Antibody

Polyclonal Antibody against HUMAN LRRC37B

0.1 mg/ml
In Stock (10+)
Delivery time: Ready to Ship
Download product datasheet

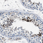
Immunohistochemical staining of human testis shows strong cytoplasmic positivity in cells in seminiferous ducts.

Product Features

The Anti‑LRRC37B antibody (HPA015135) targets LRRC37B (Leucine‑rich repeat–containing protein 37B), a protein with broad, low‑specificity RNA expression across tissues according to the Human Protein Atlas. LRRC37B is associated with the “Cerebellum – Synaptic function (mainly)” RNA expression cluster, highlighting potential roles in neuronal or synaptic biology.

Significance in Research: HPA protein profiling reports cytoplasmic expression in several tissues, and subcellular mapping identifies LRRC37B as localized to the cytosol, consistent with its predicted intracellular/membrane location depending on isoform. With protein‑level evidence supporting its expression, this antibody is a strong choice for researchers studying neuronal pathways, synaptic processes, or the broader biology of leucine‑rich repeat–containing proteins.

With Atlas Antibodies you get

Guarantee Program

All products are designed for the highest possible performance and are manufactured using a standardized process to ensure the most rigorous levels of quality.

Global Scientific Support

From our facilities in Stockholm, Sweden we develop, manufacture and distribute highly advanced reagents to the Life Sciences community worldwide.

World Wide Shipping

Our products are available to customers worldwide. From most locations, you can order our products from Atlas Antibodies. Please see more information about how to order here.

Highly Validated Antibodies

Learn how we validate our antibodies, how we secure their reproducibility, and why we apply enhanced validation. Our antibodies are validated in IHC, ICC-IF, and WB.