Cart 0
HPA037766
leucine rich repeat containing 23

Anti-LRRC23 Antibody

Polyclonal Antibody against HUMAN LRRC23

On demand
Delivery time: On Demand
Download product datasheet

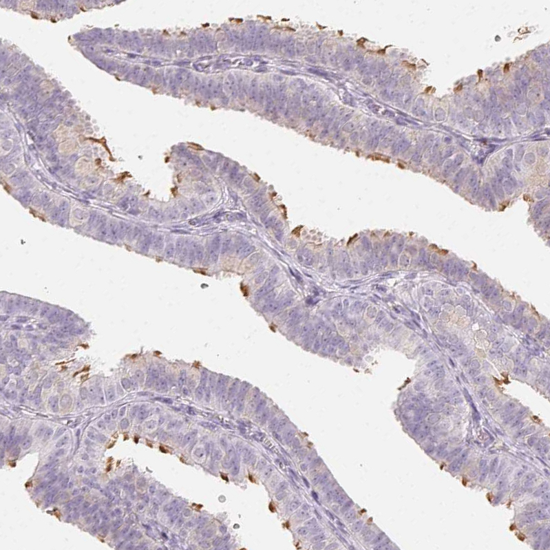
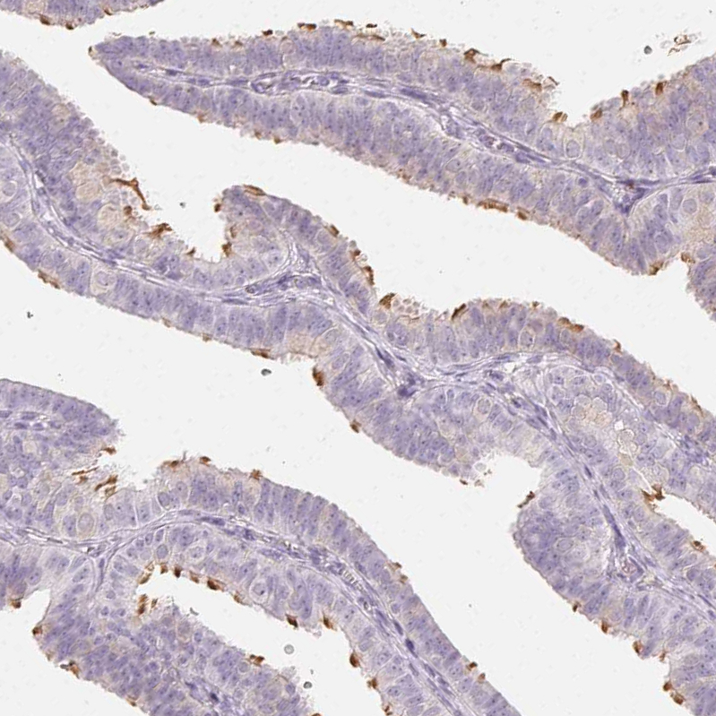
Immunohistochemical staining of human fallopian tube shows moderate cytoplasmic positivity in ciliated cells.

Product Features

The Anti‑LRRC23 antibody (HPA037766) targets LRRC23, a protein with protein‑level evidence and a distinct expression signature associated with motile cilia and flagella, according to the Human Protein Atlas. LRRC23 clusters within the “Ciliated tissues – Cilium organization (mainly)” RNA expression group and shows tissue‑enhanced expression in the Fallopian tube, highlighting its relevance in reproductive and ciliary biology.

Significance in Research: HPA subcellular data indicates that LRRC23 localizes predominantly to the nucleoli and the nucleolar rim, supporting its involvement in specialized nuclear or cilia‑related regulatory processes. This antibody is an excellent choice for researchers studying cilium structure, flagellar function, reproductive tract biology, and cilia‑associated genetic pathways.

With Atlas Antibodies you get

Guarantee Program

All products are designed for the highest possible performance and are manufactured using a standardized process to ensure the most rigorous levels of quality.

Global Scientific Support

From our facilities in Stockholm, Sweden we develop, manufacture and distribute highly advanced reagents to the Life Sciences community worldwide.

World Wide Shipping

Our products are available to customers worldwide. From most locations, you can order our products from Atlas Antibodies. Please see more information about how to order here.

Highly Validated Antibodies

Learn how we validate our antibodies, how we secure their reproducibility, and why we apply enhanced validation. Our antibodies are validated in IHC, ICC-IF, and WB.