Cart 0
HPA002967
lymphoid-restricted membrane protein

Anti-LRMP Antibody

Polyclonal Antibody against HUMAN LRMP

0.1 mg/ml
In Stock (10+)
Delivery time: Ready to Ship
Download product datasheet

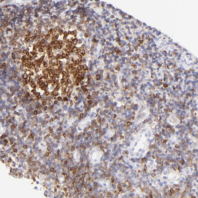
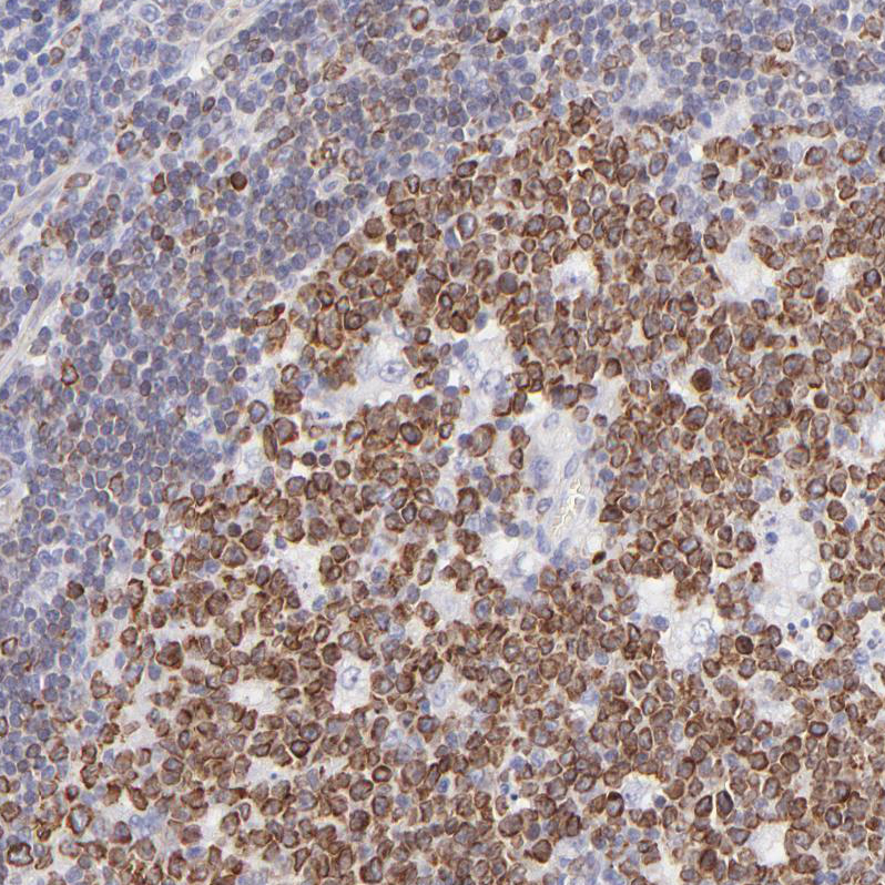
Immunohistochemistry analysis in human tonsil and skeletal muscle tissues using HPA002967 antibody. Corresponding LRMP RNA-seq data are presented for the same tissues.

Product Features

The Anti‑LRMP antibody (HPA002967) is a highly specific, affinity‑purified rabbit polyclonal antibody targeted to LRMP, also known as JAW1, a lymphoid‑restricted membrane protein localized to the endoplasmic reticulum. Validated for both immunohistochemistry (IHC) and Western blot (WB), this antibody displays strong and characteristic staining patterns across lymphoid and select epithelial tissues. Its enhanced validation includes orthogonal RNA‑seq comparison and independent antibody validation, ensuring high reliability and reproducibility in research applications.

Significance in Research: LRMP plays essential roles in MHC class I peptide delivery, functioning in a TAP‑independent pathway that impacts antigen presentation. It also contributes to taste transduction via ITPR3, participates in pronuclear congression and fusion during fertilization, and helps maintain nuclear shape through interactions within the LINC complex.

With Atlas Antibodies you get

Guarantee Program

All products are designed for the highest possible performance and are manufactured using a standardized process to ensure the most rigorous levels of quality.

Global Scientific Support

From our facilities in Stockholm, Sweden we develop, manufacture and distribute highly advanced reagents to the Life Sciences community worldwide.

World Wide Shipping

Our products are available to customers worldwide. From most locations, you can order our products from Atlas Antibodies. Please see more information about how to order here.

Highly Validated Antibodies

Learn how we validate our antibodies, how we secure their reproducibility, and why we apply enhanced validation. Our antibodies are validated in IHC, ICC-IF, and WB.