Cart 0
HPA063556
integrin, alpha 2 (CD49B, alpha 2 subunit of VLA-2 receptor)

Anti-ITGA2 Antibody

Polyclonal Antibody against HUMAN ITGA2

0.1 mg/ml
In Stock (10)
Delivery time: Ready to Ship
Download product datasheet

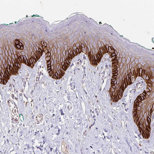
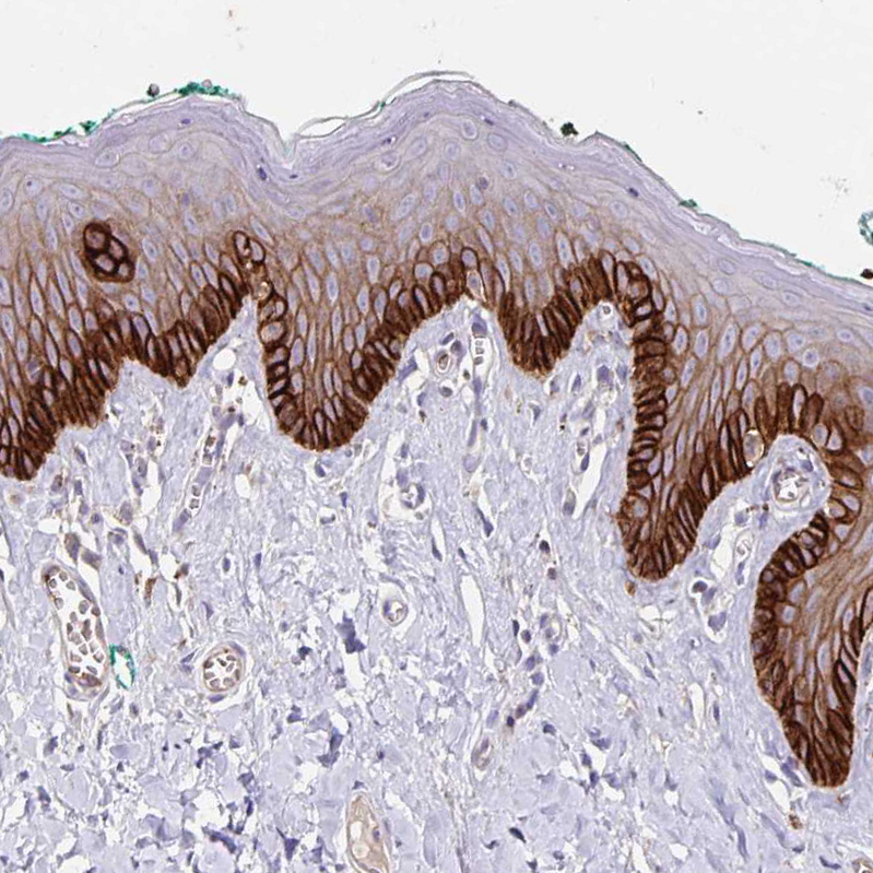
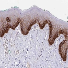
Immunohistochemistry analysis in human skin and liver tissues using HPA063556 antibody. Corresponding ITGA2 RNA-seq data are presented for the same tissues.

Product Features

The Anti‑ITGA2 antibody (HPA063556) is an affinity‑purified rabbit polyclonal antibody targeting ITGA2/CD49B, the α2 subunit of the VLA‑2 integrin receptor - a key mediator of cell‑matrix adhesion through collagen and laminin binding. It is validated for IHC and WB, supported by orthogonal RNA‑seq and independent antibody validation (HPA060991), ensuring high specificity and reproducibility across human tissues. IHC analyses show strong membranous staining in integrin‑rich tissues such as skin, urinary bladder, rectum, and endometrium, with expected absence in hepatocytes. RNA‑seq data further confirms tissue‑specific expression, making this antibody a reliable tool for studying cell adhesion and extracellular‑matrix biology. 

Significance in Research:
Cell‑Matrix Adhesion: ITGA2 pairs with β1 to form the α2β1 integrin complex, a major receptor for collagens, laminin, fibronectin, collagen C‑propeptides, and E‑cadherin, recognizing the G‑F‑P‑G‑E‑R motif and regulating adhesion, matrix remodeling, and mechanotransduction.
Platelet Function: α2β1 mediates platelet–collagen binding, contributing to hemostasis and thrombus formation.
Cancer Biology: ITGA2 is implicated in tumor invasion, stromal interaction, and extracellular‑matrix signaling, and is included in the Pan‑Cancer Atlas (18 cancer types).
Tissue Distribution: Enrichment in squamous epithelia, glandular tissues, and stromal regions aligns with its structural and adhesion‑related functions.

With Atlas Antibodies you get

Guarantee Program

All products are designed for the highest possible performance and are manufactured using a standardized process to ensure the most rigorous levels of quality.

Global Scientific Support

From our facilities in Stockholm, Sweden we develop, manufacture and distribute highly advanced reagents to the Life Sciences community worldwide.

World Wide Shipping

Our products are available to customers worldwide. From most locations, you can order our products from Atlas Antibodies. Please see more information about how to order here.

Highly Validated Antibodies

Learn how we validate our antibodies, how we secure their reproducibility, and why we apply enhanced validation. Our antibodies are validated in IHC, ICC-IF, and WB.