Cart 0
HPA069613
forkhead box L2

Anti-FOXL2 Antibody

- ChIP-Certified

Polyclonal Antibody against HUMAN FOXL2

0.1 mg/ml
In Stock (10+)
Delivery time: Ready to Ship
Download product datasheet

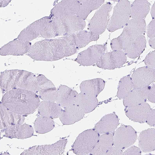
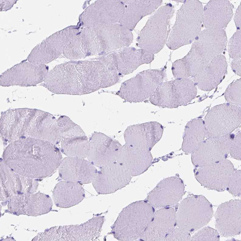
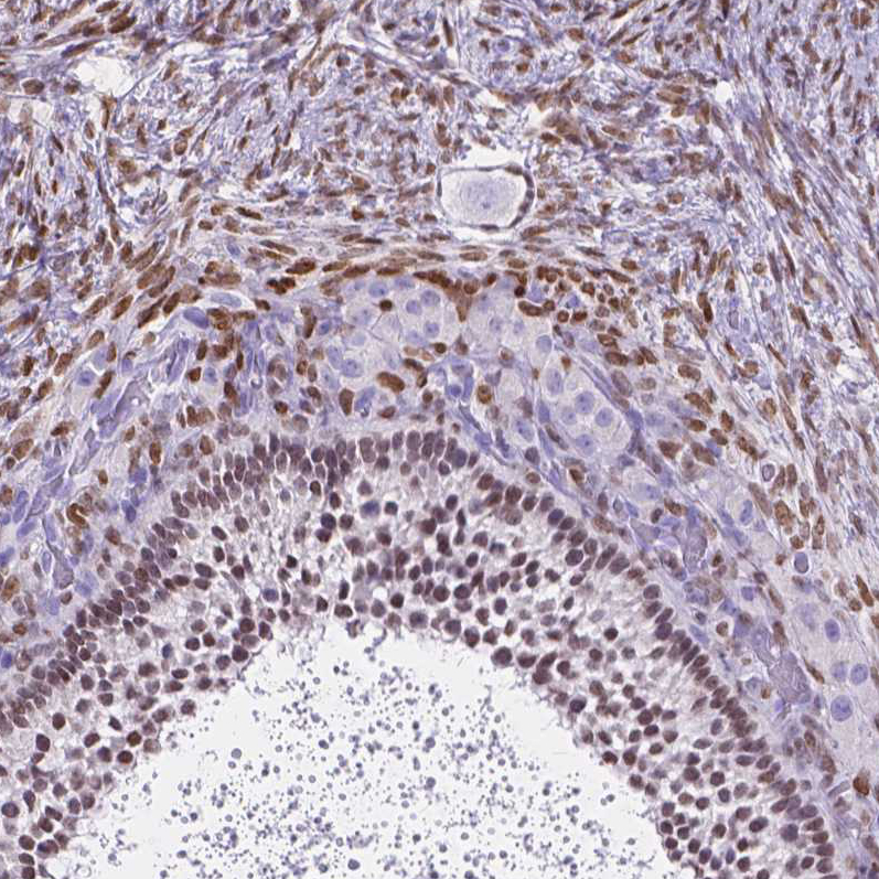
Immunohistochemistry analysis in human ovary and skeletal muscle tissues using HPA069613 antibody. Corresponding FOXL2 RNA-seq data are presented for the same tissues.

Product Features

Forkhead box L2 (FOXL2) antibody, a vital tool for researchers studying BPES (Blepharophimosis, Ptosis, and Epicanthus Inversus Syndrome) and related genetic conditions. This antibody is designed for the specific detection of FOXL2, a key transcription factor involved in various developmental processes. 

The FOXL2 antibody is engineered to recognize and bind specifically to the FOXL2 protein, which plays a crucial role in eyelid development and ovarian function. This antibody has been validated for multiple applications, making it an essential resource for studies related to genetic disorders and developmental biology. 

With Atlas Antibodies you get

Guarantee Program

All products are designed for the highest possible performance and are manufactured using a standardized process to ensure the most rigorous levels of quality.

Global Scientific Support

From our facilities in Stockholm, Sweden we develop, manufacture and distribute highly advanced reagents to the Life Sciences community worldwide.

World Wide Shipping

Our products are available to customers worldwide. From most locations, you can order our products from Atlas Antibodies. Please see more information about how to order here.

Highly Validated Antibodies

Learn how we validate our antibodies, how we secure their reproducibility, and why we apply enhanced validation. Our antibodies are validated in IHC, ICC-IF, and WB.