Cart 0
HPA028670
chromodomain helicase DNA binding protein 1-like

Anti-CHD1L Antibody

Polyclonal Antibody against HUMAN CHD1L

0.5 mg/ml
In Stock (10+)
Delivery time: Ready to Ship
Download product datasheet

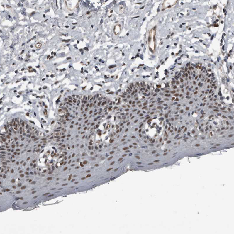
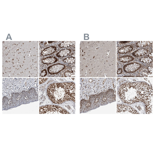
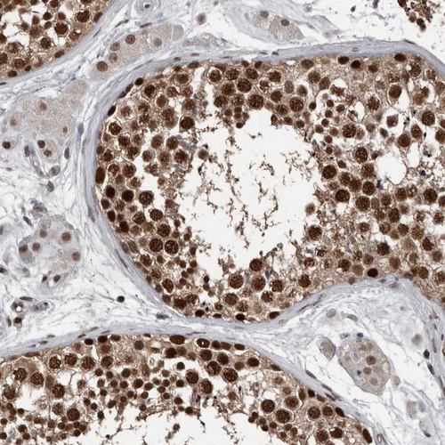
Immunohistochemical staining of human cerebral cortex, lower gastrointestinal, skin and testis using Anti-CHD1L antibody HPA028670 (A) shows similar protein distribution across tissues to independent antibody HPA027789 (B).

With Atlas Antibodies you get

Guarantee Program

All products are designed for the highest possible performance and are manufactured using a standardized process to ensure the most rigorous levels of quality.

Global Scientific Support

From our facilities in Stockholm, Sweden we develop, manufacture and distribute highly advanced reagents to the Life Sciences community worldwide.

World Wide Shipping

Our products are available to customers worldwide. From most locations, you can order our products from Atlas Antibodies. Please see more information about how to order here.

Highly Validated Antibodies

Learn how we validate our antibodies, how we secure their reproducibility, and why we apply enhanced validation. Our antibodies are validated in IHC, ICC-IF, and WB.