Cart 0
HPA001906
alpha thalassemia/mental retardation syndrome X-linked

Anti-ATRX Antibody

Polyclonal Antibody against HUMAN ATRX

0.2 mg/ml
In Stock (10+)
Delivery time: Ready to Ship
Download product datasheet

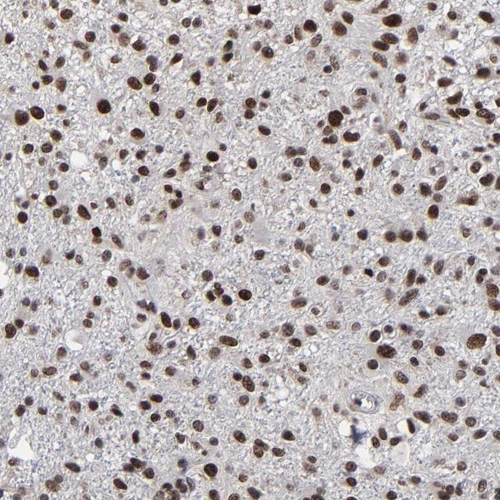
Immunohistochemistry analysis in human cerebral cortex and liver tissues using HPA001906 antibody. Corresponding ATRX RNA-seq data are presented for the same tissues.

Product Features

The Anti-ATRX antibody is a highly specific reagent designed to target the ATRX protein, a crucial chromatin remodeler involved in various cellular processes. This antibody is essential for research in kidney renal clear cell carcinoma and is linked to several genetic conditions, including alpha thalassemia and X-linked alpha thalassemia.

Significance in Research: ATRX plays a vital role in maintaining genomic stability and regulating gene expression. Its dysfunction is associated with various syndromes, including mental retardation syndrome X-linked. The Anti-ATRX antibody is a valuable tool for elucidating the mechanisms of ATRX-related pathologies and advancing our understanding of chromatin dynamics in cancer biology. 

With Atlas Antibodies you get

Guarantee Program

All products are designed for the highest possible performance and are manufactured using a standardized process to ensure the most rigorous levels of quality.

Global Scientific Support

From our facilities in Stockholm, Sweden we develop, manufacture and distribute highly advanced reagents to the Life Sciences community worldwide.

World Wide Shipping

Our products are available to customers worldwide. From most locations, you can order our products from Atlas Antibodies. Please see more information about how to order here.

Highly Validated Antibodies

Learn how we validate our antibodies, how we secure their reproducibility, and why we apply enhanced validation. Our antibodies are validated in IHC, ICC-IF, and WB.