Cart 0
AMAb91130
choline O-acetyltransferase

Anti-CHAT Antibody

Monoclonal Antibody against HUMAN CHAT

1.0 mg/ml
In Stock (10+)
Delivery time: Ready to Ship
Download product datasheet

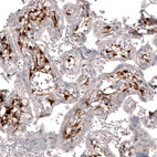
Immunohistochemistry analysis in human placenta and liver tissues using AMAb91130 antibody. Corresponding CHAT RNA-seq data are presented for the same tissues.

Product Features

The Anti-CHAT antibody is engineered to specifically bind to the CHAT protein, a key enzyme in the synthesis of the neurotransmitter acetylcholine. This antibody has been validated for multiple applications, making it an invaluable tool for studying cholinergic pathways and their role in neurological disorders. 

With Atlas Antibodies you get

Guarantee Program

All products are designed for the highest possible performance and are manufactured using a standardized process to ensure the most rigorous levels of quality.

Global Scientific Support

From our facilities in Stockholm, Sweden we develop, manufacture and distribute highly advanced reagents to the Life Sciences community worldwide.

World Wide Shipping

Our products are available to customers worldwide. From most locations, you can order our products from Atlas Antibodies. Please see more information about how to order here.

Highly Validated Antibodies

Learn how we validate our antibodies, how we secure their reproducibility, and why we apply enhanced validation. Our antibodies are validated in IHC, ICC-IF, and WB.