Cart 0
HPA035973
ADAM metallopeptidase with thrombospondin type 1 motif, 12

Anti-ADAMTS12 Antibody

Polyclonal Antibody against HUMAN ADAMTS12

On demand
Delivery time: On Demand
Download product datasheet

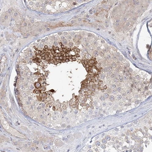
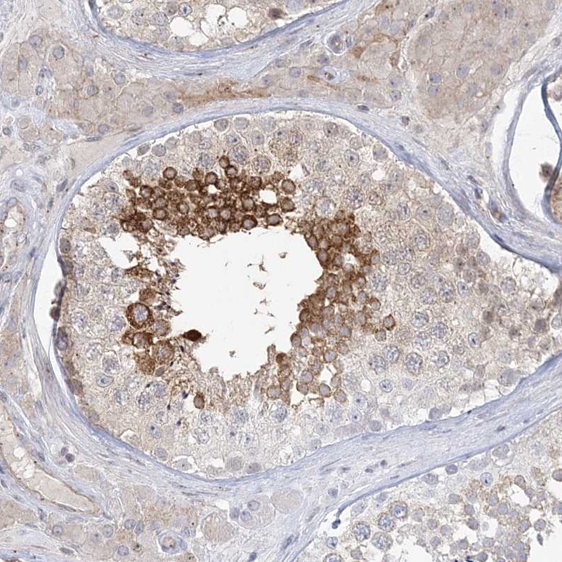
Immunohistochemical staining of human testis shows strong cytoplasmic positivity in subsets of seminiferus duct cells.

With Atlas Antibodies you get

Guarantee Program

All products are designed for the highest possible performance and are manufactured using a standardized process to ensure the most rigorous levels of quality.

Global Scientific Support

From our facilities in Stockholm, Sweden we develop, manufacture and distribute highly advanced reagents to the Life Sciences community worldwide.

World Wide Shipping

Our products are available to customers worldwide. From most locations, you can order our products from Atlas Antibodies. Please see more information about how to order here.

Highly Validated Antibodies

Learn how we validate our antibodies, how we secure their reproducibility, and why we apply enhanced validation. Our antibodies are validated in IHC, ICC-IF, and WB.